پوسیدگی دندان یکی از شایعترین مشکلات دهان و دندان در دنیاست و تقریبا هر فردی حداقل یک بار آن را تجربه میکند. در سالهای اخیر، تبلیغات زیادی درباره درمان پوسیدگی دندان با دارو، «ترمیم پوسیدگی دندان بدون تراش»، «درمان پوسیدگی بدون دندانپزشک» و حتی «بستن حفره دندان با قطرههای گیاهی» منتشر شده است. همین موضوع بسیاری از مردم را سردرگم کرده که آیا واقعا دارویی وجود دارد که پوسیدگی دندان را درمان کند یا همه اینها فقط یک تبلیغ فریبنده است؟
برای پاسخ به این سؤال، لازم است بدانیم پوسیدگی چگونه ایجاد میشود، سطح پوسیدگی چقدر اهمیت دارد و اصول علمی چه میگویند.
چرا کلینیک دکتر صفورا امامی؟
✔️ عصب کشی دندان با متدهای روز دنیا
✔️ جراحی مجدد ریشه (ReEndo)
✔️ همراهی و مشاوره تخصصی قبل و بعد از درمان
📞 مشاوره رایگان و نوبتگیری سریع برای عصبکشی و درمان ریشه، فقط با یک تماس!
شماره تماس: 02126255102 و 02126255088
پوسیدگی دندان چگونه ایجاد میشود؟
پوسیدگی دندان در نتیجه ترکیب چند عامل ایجاد میشود:
- باکتریهای موجود در دهان
- قند و مواد غذایی باقیمانده روی دندان
- تشکیل اسید توسط باکتریها
- ضعیف شدن مینای دندان و ایجاد حفره
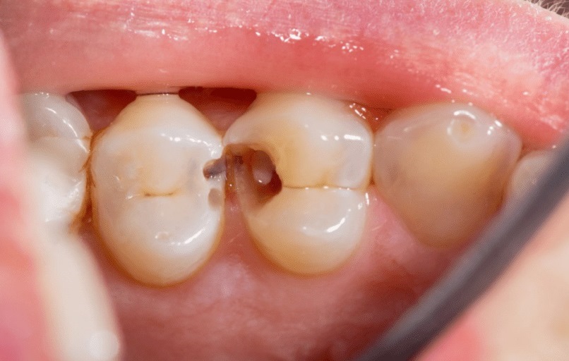
در مراحل اولیه، پوسیدگی فقط محدود به مینای دندان است و هنوز وارد لایههای عمیق نشده. اما زمانی که پوسیدگی پیشرفت کند و به عاج یا حتی پالپ برسد، دیگر هیچ دارویی قادر نیست بافت از دسترفته را «برگرداند».
از اینجا سؤال مهم شکل میگیرد:
آیا دارو میتواند پوسیدگی دندان را درمان کند؟
پاسخ کوتاه: در مراحل اولیه، بله؛ در مراحل پیشرفته، خیر. درمان پوسیدگی دندان فقط در مرحله مینایی با برخی درمانهای دارویی ممکن است. اما از زمانی که حفره ایجاد شود (یعنی دندان سوراخ شود)، هیچ دارویی نمیتواند بافت از بینرفته را بازسازی کند و تنها راه، ترمیم دندان با روشهای دندانپزشکی است. در ادامه دقیقتر بررسی میکنیم.
درمان دارویی پوسیدگی دندان: واقعیتهای علمی
-
فلوراید تراپی؛ تنها داروی واقعی برای کنترل پوسیدگی اولیه
فلوراید در اشکال مختلف مانند ژل، وارنیش، دهانشویه یا خمیردندان میتواند:
- سطح مینای دندان را تقویت کند.
- رشد باکتریهای پوسیدگیزا را محدود کند.
- روند دِمینرالیزاسیون (برداشت مواد معدنی) را کند یا متوقف کند.
- حتی تا حدودی باعث رِمینرالیزه شدن سطوح دچار پوسیدگی اولیه شود.
بنابراین فلوراید تنها مادهای است که قابلیت علمی تأییدشده برای توقف پوسیدگی اولیه دارد.
-
کلسیم و فسفات (CPP-ACP)
این ماده در برخی محصولات تخصصی دندانپزشکی مانند MI Paste وجود دارد و میتواند:
- مینای ضعیفشده را دوباره معدنی کند.
- حساسیت دندان را کاهش دهد.
- از پیشرفت لکههای سفید (پوسیدگی سطحی) جلوگیری کند.
این روش نیز فقط زمانی مؤثر است که پوسیدگی هنوز تبدیل به حفره نشده باشد.
-
نقرهدیآمین فلوراید (SDF)
این ماده که در کودکان و سالمندان استفاده میشود، میتواند:
- روند پیشرفت پوسیدگی فعال را متوقف کند.
- باکتریها را از بین ببرد.
- پوسیدگی را «غیرفعال» کند.
اما یک نکته مهم دارد: SDF پوسیدگی را درمان نمیکند؛ فقط آن را متوقف میکند و دندان همچنان نیاز به ترمیم دارد.

داروهایی که فقط «تبلیغ» هستند و درمان واقعی محسوب نمیشوند.
در سالهای اخیر محصولات زیادی تحت عنوان «درمان قطعی پوسیدگی دندان» تبلیغ شدهاند. اینها عمدتا:
- قطرههای گیاهی
- روغنها
- داروهای طب سنتی
- مکملهای تقویتی
- دهانشویههای غیرعلمی
- ژلهای نامعتبر خارجی یا اینترنتی
هستند.
این محصولات چه مشکلی دارند؟
- هیچکدام نمیتوانند بافت از بینرفته دندان را بازسازی کنند.
- پوسیدگی پیشرفته را نه متوقف میکنند و نه درمان!
- بسیاری از آنها حتی تاییدیه علمی یا پزشکی ندارند.
- مصرف آنها باعث میشود شما درمان اصلی را به تأخیر بیندازید و پوسیدگی شدیدتر شود.
به همین دلیل متخصصان تأکید میکنند که بیشتر این تبلیغات صرفا بازاریابی و گاه حتی خطرناک هستند.
پس چه زمانی پوسیدگی با دارو درمان میشود؟
فقط در دو حالت زیر درمان دارویی مؤثر است:
-
پوسیدگی در مرحله لکه سفید (White Spot Lesion)
این حالت معمولا در قسمتهای زیر ظاهر میشود:
- نزدیک خط لثه
- بین دندانها
- اطراف براکت ارتودنسی
- سطوحی که پلاک بیشتری جمع میشود
در این مرحله داروهایی مثل فلوراید، CPP-ACP و SDF میتوانند:
- روند پوسیدگی را متوقف کنند.
- مینای دندان را بازسازی کنند.
- دندان را به حالت طبیعی برگردانند.
-
پوسیدگی بسیار سطحی بدون تخریب ساختاری
اگر پوسیدگی هنوز سطحی و بدون سوراخ باشد، امکان بازسازی وجود دارد. اما اگر دندان حتی یک حفره کوچک هم داشته باشد، هیچ دارو، قطره، ژل، ویتامین یا دهانشویهای نمیتواند دندان را درمان کند. در این حالت فقط درمانهای زیر مؤثرند:
چرا نمیتوان پوسیدگی ایجادشده را با دارو درمان کرد؟
مینای دندان قابلیت ترمیم طبیعی ندارد چون:
- زنده نیست،
- سلول ندارد،
- نمیتواند ساختار از دسترفته را بسازد.
پس اگر حفره ایجاد شده باشد، هیچ مادهای نمیتواند مانند بتن به آن بچسبد و بخشی از دندان شود.
آیا درمانهای جدید و آیندهنگر برای ترمیم دندان بدون تراش وجود دارد؟
تحقیقات علمی درباره موارد زیر در حال انجام است:
- استفاده از سلولهای بنیادی برای ساخت بافت دندان
- مواد معدنی پیشرفته برای بازسازی خودکار دندان
- آنزیمهای محرک رِمینرالیزاسیون
اما این فناوریها هنوز در مرحله تحقیقاتی هستند و در بازار وجود ندارند. بنابراین هر محصولی که بهعنوان «ترمیم دندان با داروی جدید» معرفی شود، فعلاً علمی و معتبر نیست.

آیا آنتیبیوتیکها پوسیدگی دندان را درمان میکنند؟
خیلیها فکر میکنند وقتی دندان درد میگیرد، آنتیبیوتیک میتواند پوسیدگی را درمان کند. اما واقعیت این است:
- آنتیبیوتیک فقط عفونت اطراف دندان را کاهش میدهد.
- روی خود دندان هیچ تأثیر بازسازیکنندهای ندارد.
- پوسیدگی همچنان باقی میماند و حتی پیشرفت میکند.
✔️بیشتر بخوانید: مصرف آنتی بیوتیک برای درمان عفونت دندان
با چه نشانههایی نباید به دارو اعتماد کرد و باید سریعا به دندانپزشک مراجعه کرد؟
اگر یک یا چند مورد زیر را دارید، دارو دیگر کافی نیست:
- درد هنگام نوشیدن چیزی سرد یا گرم
- گیر کردن غذا بین دندانها
- احساس سوراخ یا زبری روی دندان
- تغییر رنگ واضح دندان (قهوهای، سیاه)
- بوی بد دهان
- درد شبانه
- درد ضربهای هنگام غذا خوردن
- تورم یا آبسه
در این شرایط حتی اگر دارویی وجود داشت، دیگر دیر شده و باید درمان دندانپزشکی انجام شود.
آیا میتوان از دارو برای جلوگیری از پوسیدگی دندان استفاده کرد؟
بله. بسیاری از درمانهای دارویی اگرچه پوسیدگی را درمان نمیکنند، اما نقش مهمی در پیشگیری دارند:
- خمیردندان فلوراید: پایه اصلی پیشگیری
- دهانشویه فلوراید: برای افراد با ریسک پوسیدگی بالا مفید است.
- پاستیلها یا ژلهای CPP-ACP: محافظت بیشتری ایجاد میکنند.
- مکملهای ویتامین D و کلسیم: اگر کمبود داشته باشید، مینای دندان ضعیف میشود؛ پس مصرف آنها غیرمستقیم اهمیت دارد.
نتیجهگیری نهایی: واقعیت یا تبلیغ؟
درمان پوسیدگی دندان با دارو تا حدی واقعیت دارد، اما این موضوع تنها زمانی صدق میکند که پوسیدگی در مراحل بسیار اولیه باشد و هنوز حفرهای روی دندان ایجاد نشده باشد. هر محصولی که ادعا کند میتواند پوسیدگی ایجادشده یا دندان سوراخشده را ترمیم کند، بیشتر جنبه تبلیغاتی دارد و حتی میتواند گمراهکننده باشد. روشهای علمی و تأییدشده مانند فلورایدتراپی، CPP-ACP و SDF تنها قادرند روند پوسیدگی اولیه را کنترل یا متوقف کنند و برای حفرههای ایجادشده کارایی درمانی ندارند. در صورتی که دندان سوراخ شده باشد، مراجعه به دندانپزشک تنها راه درمان است و هیچ دارویی نمیتواند بافت از دسترفته را بازگرداند. در نهایت باید گفت داروها بیشتر در نقش پیشگیری و کنترل پوسیدگی سطحی عمل میکنند و جایگزین درمانهای دندانپزشکی در مراحل پیشرفته نیستند.
